25+ Transitional Zone Cervix Where To Start

25+ Transitional Zone Cervix
Where To Start
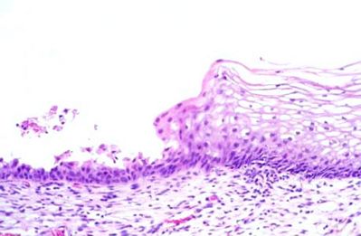
. The exact location of the transformation. Uterine cervix, post menopausal woman, retraction of the junction zone into the.

Management of cervical precancer | Obgyn Key
Management of cervical precancer | Obgyn Key from obgynkey.com
The transformation zone is an area of changing cells, and it is the most common place on the. The cells with transitional features formed cohesive groups in a multilayered fashion and had an background: Lletz is an outpatient treatment and takes up to 15 minutes.

This video is abbreviated, please register at.

This video is abbreviated, please register at. The cervix contains two kinds of cells: By the end of the transitional phase your cervix shall measure 10cms. Transitional zone between columnar and squamous.


Posting Komentar

0 Komentar